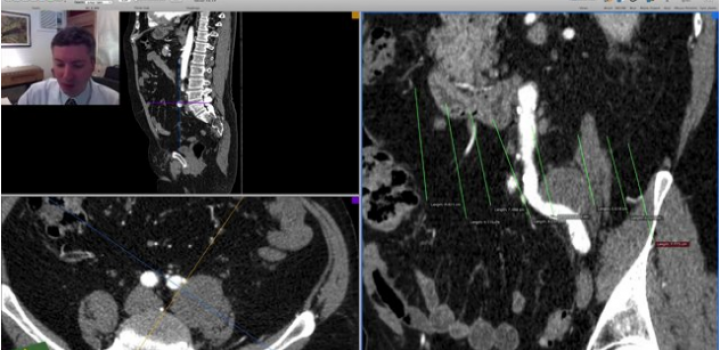
O 3D Curved MPR é a ferramenta que permite fazer o centerline manual no OsiriX.
É importantíssimo entender o 3D-MPR antes de passar para o 3D Curved MPR.
Como usar as ferramentas básicas para...
- Login
- Tutoriais
- Conteúdo Programático
- Fórum
- Avançado
- Básico
- 3D Curved MPR - Basico
- 3D Volume Rendering
- Configurando a barra de ferramentas
- Corrigir exames no OsiriX
- Diferença entre 32bit e 64bit
- EVAR Planning (plugin)
- Impressão de imagens 3D e axiais
- Introdução ao OsiriX
- Laudos no OsiriX
- OsiriX Gratuito Download
- OsiriX para Cirurgia Vascular
- Réguas de medida
- Salvando volumes tridimensionais
- Sincronizando exames no OsiriX
- Subtração Digital
- Uso básico do Mac
- Camada de anotação
- Gravando DVD e Anonimizando exames
- Sobreposição de imagens
- Rede
- Curso Presencial
- Editorial
- Quem somos
- Solicite tema